診察案内
ポイント
画像を用いた
「納得」のカウンセリング
治療を始める前に、ご自身のお口の中が今どのような状態で、どのような問題を抱えているのかを、3D画像や写真で具体的に「見える化」します。
言葉だけの説明では伝わりにくいことも、視覚的に理解することで、治療の必要性や目的が明確になります。
当院は、この「納得」のプロセスを何よりも大切にしています。
患者様がご自身の状態を把握し、私たちと共通のゴールを持って初めて、質の高い治療が実現すると考えています。
マイクロスコープとCTで
「精密」な診断と治療
当院では三次元でお口の状態を把握できる歯科用CTと、肉眼の最大20倍以上で患部を拡大できるマイクロスコープ(歯科用顕微鏡)を導入しています。
特に歯の神経の治療(根管治療)やインプラント治療、歯周病治療において、これらの機器は威力を発揮します。
CTで骨の厚みや神経の位置を正確に把握し、マイクロスコープで肉眼では見えない微細な病変も見逃しません。
この精密さが再治療のリスクを減らし、患者様の大切な歯を守ることに直結しています。
質の高いホワイトニング、
予防もできるクリーニング
より質の高い自費診療(ホワイトニング・クリーニング)を希望される患者様の声に応えるためです。
ホワイトエッセンスのメニューは、専用の研修を修了した歯科衛生士が薬事認証を受けた機器と薬剤を使用し、専用の個室で施術します。
アロマが香り、ふかふかのシートでリラックスしながら施術を受けられる環境は、歯科医院のイメージを変えるものです。
歯を白くしたい方はもちろん、お口の健康意識を高めるきっかけとしても、ぜひ当院のホワイトニングをご体験ください。
口腔外科出身の院長による
「専門性」の高い治療
口腔外科は親知らずの抜歯、顎関節症、インプラント、口腔がん、外傷など、お口周りの外科的処置を専門とする分野です。
当院ではその経験に基づき、大学病院レベルの専門的な口腔外科治療を行えることが強みです。
特に横向きに生えた難しい親知らずの抜歯や、原因が分かりにくい「口腔顔面痛」、顎の痛みを伴う「顎関節症」の診断と治療も得意としています。
インプラント治療においても、骨の状態を正確に診断する外科的知見は不可欠です。
安心して治療をお任せください。
患者様に選ばれる理由
「計画診療」の実施
場当たり的な治療ではなく、「まずお口全体の健康をどう回復させ、どう維持していくか」という視点で、治療のゴールと道筋を明確にします。
保険診療の範囲で行うか、より審美性や耐久性を求めて自費診療を選択するか、通院回数はどれくらいか。
カウンセリングで患者様のご希望を伺いながら、最適な計画をご提案し、ご納得いただいた上で治療を開始します。
この計画診療こそが患者様の不安を解消し、信頼関係を築く第一歩であると確信しています。
快適な院内環境
治療に使用する器具は、ヨーロッパの厳格な基準(EN13060)をクリアした「クラスB滅菌器」を用いて、あらゆるウイルスや細菌を死滅させています。
また、治療中に飛び散る粉塵や飛沫を瞬時に吸引する「口腔外バキューム」を全ユニットに設置し、院内感染のリスクを最小限に抑えています。
診療室はプライバシーに配慮した個室・半個室設計を採用。
アロマディフューザーや空気清浄除菌システムも稼働させ、清潔で快適な空間づくりに努めています
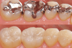
補綴(詰め物・被せ物)
特に自費診療では、金属を一切使用しない「オールジルコニア」や、色調の再現性が高い「ジルコニアボンド」など、耐久性に優れ、生体親和性が高く、見た目も天然歯に近い素材を厳選しています。
また、色を測定する「デジタルシェードガイド」や精密な型取りを可能にする「口腔内スキャナー」を使用することで、周囲の歯と調和した、より精度の高い補綴物を製作することが可能です。
「銀歯が気になる」「自然な白い歯を入れたい」というご要望に、高いレベルでお応えします。
「チーム医療」体制
歯科医師、歯科衛生士、歯科助手、受付が、それぞれの専門性を発揮し、「笑顔の創造」という共通の理念のもとで連携する「チーム医療」こそが当院の強みです。
院内ミーティングを定期的に実施し、患者様の情報を共有するだけでなく、院内・院外の研修やマニュアルを活用して、常に知識と技術のアップデートに努めています。
スタッフ一人ひとりが患者様のことを考え、自ら改善点を協議し、成長できる環境を整えることが、結果として患者様への最善の医療につながると信じています。
料金表
各種診察をご案内しております。料金につきましては詳細をご確認下さい。
採用情報
当院では一緒に働く仲間を募集しています。
お口を通して、地域に貢献しませんか?
よくある質問
通院回数はどの程度かかりますか?
当院では、まず精密な検査でお口全体の状態を把握し患者様のご希望を伺った上で、お一人ひとり個別の治療計画を作成します。
そのため、必要な通院回数や期間は患者様によって異なります。
検査結果が出た後、カウンセリングにて治療計画と合わせて詳細にご説明いたしますのでご安心ください。
初診ではいくらぐらいかかりますか?
初診時は、レントゲン撮影や口腔内写真撮影などの精密検査、診断、カウンセリングを行います。
保険診療(3割負担)の場合、処置内容にもよりますが概ね3,000円から3,500円程度となることが多いです。
予約はとりづらいですか?
大変申し訳ございませんが、現在多くの患者様にご来院いただいており、歯科医師の診察(治療)予約は2~4週間に一度の頻度となる場合がございます。
患者様一人ひとりに丁寧な診療を行うため、何卒ご理解いただけますと幸いです。
クリーニングや定期検診のご予約は、比較的スムーズにご案内可能です。
歯科医師や歯科衛生士の指定はできますか?
はい、可能です。
ご予約の際に「前回と同じ先生で」とお申し付けください。
担当の歯科医師・歯科衛生士が責任を持って、患者様のお口の健康をサポートいたします。
保険診療の範囲内で治療できますか?
はい、もちろんです。
当院では、保険診療を基本としております。
患者様のご希望に応じて、保険診療の範囲内で最善の治療計画をご提案します。
自費診療(審美治療やインプラントなど)をご希望の場合や、保険で認められていない治療法が適している場合はその利点と費用を丁寧にご説明し、患者様ご自身に選択していただきます。
支払方法は現金のみですか?
保険診療のお支払いは、原則として現金のみとさせていただいております。
インプラント、矯正、審美治療などの自費診療につきましては、現金でのお支払いの他にクレジットカード、デンタルローンもご利用いただけます。
麻酔は痛いですか?
当院では、麻酔の痛みを最小限にするためにまず歯茎に表面麻酔(塗るタイプの麻酔)をしっかりと効かせます。
その後、極細の注射針を使用しゆっくりと一定の圧力で麻酔液を注入することで、針が刺さる痛みや注入時の圧痛を極力感じさせないよう配慮しています。
初診や急患ですぐ見てくれますか?
強い痛みや腫れなど、緊急の場合はまずお電話にてご連絡ください。
可能な限り当日、もしくは次の日にご案内できるよう調整いたします。
ただし、ご予約の患者様が優先となりますのでお待ち時間をいただいたり、必ずしもご希望の時間に沿えなかったりする場合がございます。
予約なしでも見てくれますか?
当院は、予約優先制で診療しております。
ご予約の患者様を時間通りにご案内するため、ご予約なしでご来院された場合診療状況によっては長時間お待たせしてしまうか、当日の診療が難しい場合がございます。
なるべく事前のご予約をお願いいたします。
最短で治療を終了させたいです。
お気持ちは察しいたします。
保険診療の場合、一度に行える治療の範囲などに一定のルールがございます。
当院では、まず精密な検査とカウンセリングを行い患者様のご希望(「最短で」など)を伺った上で、そのルールの範囲内で可能な限り最短となる治療計画をご提案いたします。
YouTubeで動画を配信中!
医院のYouTubeチャンネルで
動画配信中!










