0480-31-9955 LINE予約
審美治療|南栗橋歯科

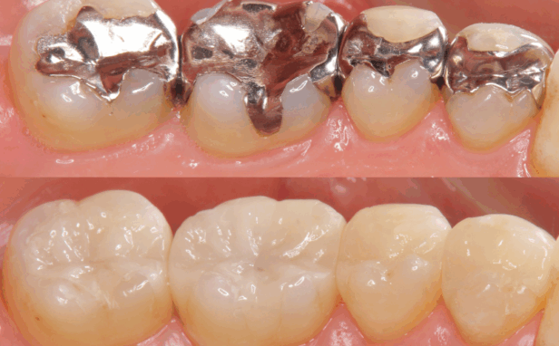
審美(補綴・詰め物・被せ物)

治療内容
  • 不快感のない型取り
  • 自然な見た目の色合わせ
  • 精密な形成と適合
  • 耐久性と審美性を追求した治療
こんなお悩み解決します!
笑うと銀歯が見えて気になる
被せ物の色が
周りの歯と合わない
歯の形や隙間を整えたい
予防歯科|南栗橋歯科

予防歯科・クリーニング(PMTC)

治療内容
  • 歯科衛生士による
    専門的なクリーニング
  • ホワイトエッセンスの
    自費クリーニング
  • 定期検診とメンテナンス
こんなお悩み解決します!
歯石がつきやすい
虫歯や歯周病を防ぎたい
セルフケアの方法を
詳しく知りたい
歯周病|南栗橋歯科

歯周病治療

治療内容
  • 精密検査とカウンセリング
  • プラークコントロールとルートプレーニング
  • 定期検診とメンテナンス
こんなお悩み解決します!
歯がグラグラする
歯茎から血が出る
歯茎が赤く腫れている

ホワイトニング(ホワイトエッセンス)

治療内容
  • 3つの選択肢から選ぶホワイトニング
  • 定期的なクリーニングとタッチアップ
こんなお悩み解決します!
歯を白くしたい
安全性のある
ホワイトニングを受けたい
歯の黄ばみが気になる

小児歯科

治療内容
  • 子どもの歯の虫歯除去
  • 生活習慣の改善指導
  • 定期検診と虫歯予防処置
こんなお悩み解決します!
歯医者で泣かないか心配
歯磨きがうまくできない
虫歯があると指摘された
顎関節症|南栗橋歯科

顎関節症・口腔顔面痛

治療内容
  • 口腔外科出身の院長による
    専門性のある診療
  • 顎関節症の改善
  • スプリント療法
  • 生活習慣・行動の指導
こんなお悩み解決します!
口を開けると
カクカク音がする
顎が痛くて
大きく口が開かない
歯が痛いが
虫歯が原因ではなかった

インプラント

治療内容
  • 院長による安心安全の
    インプラント治療
  • 精密診断と治療計画
  • 骨を補う骨造成
  • 定期検診とメンテナンス
こんなお悩み解決します!
歯を失ってしまった
入れ歯だと食事がしにくい
思いっきり食事を楽しみたい

矯正歯科(アライナー矯正・小児矯正)

治療内容
  • 目立ちにくいアライナー矯正
  • 顎の成長を妨げない小児矯正
  • 定期検診とメンテナンス
こんなお悩み解決します!
目立たない矯正治療がしたい
子どもの歯並びが気になる
費用や期間、装置の見た目が不安
入れ歯治療|南栗橋歯科

入れ歯(義歯)

治療内容
  • 丁寧な型取り・精密義歯作製
  • 入れ歯の繊細な調整
  • 保険診療と自費診療から
    選択する入れ歯治療
こんなお悩み解決します!
使っている入れ歯が合わな
噛み心地が悪い・噛むと痛い
自然な見た目の
入れ歯を作りたい

口腔外科

治療内容
  • 親知らずの抜歯
  • 粘膜の病気などによる症状の改善
  • 顎の痛みに対する治療
こんなお悩み解決します!
親知らずが腫れた・痛い
抜歯をするべきか相談したい
口の中を怪我した

虫歯治療・根管治療

治療内容
  • 虫歯の除去
  • 進行した虫歯の治療
  • 精密な根管治療
  • 定期検診とメンテナンス
こんなお悩み解決します!
歯が痛い・しみる・腫れた
治療しても
虫歯を繰り返している
口の中の状況を知りたい

診療時間

診療時間
9:30〜13:30
14:30〜18:30
▲:14:30~17:00
休診日:日・祝

南栗橋歯科クリニック

〒349-1117 
埼玉県久喜市南栗橋10-12-60

0480-31-9955

アクセス

南栗橋駅

徒歩12分

駐車場

医院前:3台
第2駐車場:6台