0480-31-9955 LINE予約

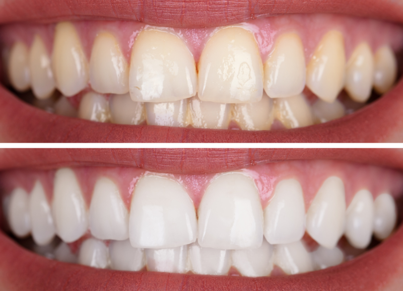
ホワイトニング(ホワイトエッセンス)

ホワイトニング(ホワイトエッセンス)

治療内容
  • 3つの選択肢から選ぶホワイトニング
  • 定期的なクリーニングとタッチアップ
こんなお悩み解決します!
歯を白くしたい
安全性のある
ホワイトニングを受けたい
歯の黄ばみが気になる

近年、お口の健康や美しさへの関心が高まる中で「歯を白くしたい」というご相談は年齢や性別を問わず非常に増えています。
白い歯は、お顔全体の印象を明るくし、清潔感を与え、そして何よりもご自身の笑顔に自信をもたらしてくれます。
私たちは、ホワイトニングを単なる「美容」とは捉えていません。
ご自身の口元に関心を持ち、綺麗にしたいと願うそのお気持ちは、お口全体の健康を維持向上させるための素晴らしい「入口」となると確信しているからです。

「痛いから行く場所」「虫歯を治す場所」そうした従来のイメージを越えて、
「お口を綺麗に、健康にしに行く場所」「リラックスして、自分を磨く場所」
と思っていただけるよう、南栗橋歯科クリニックでは専門性の高いホワイトニング環境を整えています。

当院のホワイトニングが選ばれる理由

「ホワイトニングは、どこで受けても同じ」と思っていませんか?
使用する薬剤、機器、施術者の技術、そして何より「安全性」への配慮によって、その結果や安心感は大きく異なります。
当院は、患者様に安心して、そして快適に理想の白さを目指していただくため以下の点にこだわっています。

1. 専門性の高い「ホワイトエッセンス」加盟院です

専門性の高い「ホワイトエッセンス」加盟院です|南栗橋歯科

当院は、全国で270医院以上(2023年12月時点)が加盟する国内最大手のデンタルエステブランド「ホワイトエッセンス」の加盟院です。
ホワイトエッセンスは、単なるホワイトニング施術の名称ではありません。
厳しい研修を受け、認定試験に合格した専門の歯科医師・歯科衛生士のみが施術を許される確立された技術とシステムです。

専門家による施術

当院では、ホワイトエッセンスの研修を修了した専門スタッフが患者様一人ひとりのお悩みやご希望を丁寧にお伺いし、最適なプランをご提案します。

専用の快適な個室空間

施術は、アロマが香り、心地よい音楽が流れるプライバシーに配慮した専用の個室で行います。
一般的な診療台ではなく、長時間でも疲れにくいふかふかのリクライニングシートで心からリラックスして施術を受けていただけます。

ホワイトエッセンス専用個室|南栗橋歯科

2. 安全性への徹底したこだわり

患者様のお口に直接触れるものだからこそ、私たちは「安全性」を何よりも優先します。

国内の薬事認証を受けた薬剤・機器のみ使用

国内の薬事認証を受けた薬剤・機器のみ使用|南栗橋歯科

当院で使用するホワイトニングジェル(薬剤)や光を照射するLEDライトは、すべてホワイトエッセンス開発の日本の厚生労働省によって薬事認証を受けたものだけを厳選しています。
安価な海外製の未認証薬剤などは、安全性や効果が担保されておらず、歯や歯茎に予期せぬダメージを与える危険性があるため当院では一切使用いたしません。

■ホワイトニング材
ホワイトエッセンスホワイトニング プロ【医療機器承認番号 23000BZX00368000】

■ライト(照射器)
WE Light クラスⅡ【医療機器認証番号 228ADBZX00020000】

施術前の徹底した診査・診断

歯科衛生士|南栗原歯科

ホワイトニングは、どなたでも、どのような状態でも行えるわけではありません。
重度の虫歯や歯周病がある状態で薬剤を使用すると、強い痛みが出たり、症状を悪化させたりすることがあります。
当院では、必ず事前に歯科医師・歯科衛生士がお口の中を診査し、ホワイトニングを行っても問題ない健康な状態であることを確認した上で安全に施術を開始します。

3. 「見える化」と「精密さ」へのこだわり

ホワイトニングは「なんとなく白くなった気がする」といった曖昧なものであってはなりません。
当院では、デジタル機器を用いて施術前後の変化を客観的に「見える化」します。

デジタルシェードガイド(WEシェード)の活用

従来の、人の目(感覚)で色の見本と見比べる方法では、その日の照明や体調によって判断がブレることがありました。
当院では、歯の色を数値で客観的に測定する「デジタルシェードガイド」を使用します。
施術前に現在の歯の色を正確に測定し、施術後にも再度測定することで「数値として、どれだけ白さが向上したか」を患者様ご自身の目でご確認いただけます。

口腔内スキャナーによる精密なマウスピース作製

口腔内スキャナー|南栗橋歯科

ご自宅で行う「ホームホワイトニング」では、薬剤を入れるマウスピース(カスタムトレイ)の適合性が非常に重要です。
当院では、従来の粘土のような材料(アルジネート)を使った不快な型取りは行いません。
「口腔内スキャナー」でお口の中を撮影し、その精密な3Dデータ(WEスキャン)を基に患者様専用のカスタムトレイを作製します。
歯に吸い付くように精密にフィットするため、薬剤が漏れにくく、違和感が少なく、高い効果を引き出すことが可能です。

歯が黄ばむ原因

歯の色は様々な要因によって変化します。

外因性の着色(食べ物など)

コーヒー、紅茶、赤ワイン、カレー、チョコレートなど色の濃い飲食物に含まれる色素(タンニンなど)が、歯の表面に付着・浸透します。タバコのヤニ(タール)も大きな原因です。

内因性の変色(加齢など)

年齢を重ねるとともに、歯の表面のエナメル質が薄くなり、その内側にある黄色味を帯びた「象牙質」の色が透けて見えるようになります。これが、加齢による黄ばみの主な原因です。

その他の原因

幼少期に特定の薬剤(テトラサイクリン系抗生物質)を服用した場合や、歯の神経が死んでしまった場合なども歯が変色することがあります。

ホワイトニングの原理

ホワイトニングの原理|南栗橋歯科

ホワイトニングとは、歯を「削る」ことも「被せる」こともしない薬剤の化学的な力で歯そのものの色を「漂白」する治療法です。
歯の表面のエナメル質に付着・沈着した色素を分解し、さらにエナメル質の内側にある象牙質の色も薬剤を浸透させて白くしていきます。

クリーニングとの違い

「クリーニング(PMTC)」と「ホワイトニング」は目的が異なります。

クリーニング

歯の「表面」に付着した歯石、歯垢(プラーク)、着色(ステイン)を専用の機器と研磨剤で物理的に除去する処置です。
歯が本来持っている色(元の色)に戻すことはできますが、元の色以上に白くすることはできません。

ホワイトニング

歯の「内部」にまで作用し、歯そのものの色を分解・漂白して元の色以上に白くする処置です。
当院では、まずクリーニングでお口の汚れを徹底的に除去し、歯が綺麗になった状態でホワイトニングを行うことを推奨しています。


当院のホワイトニングメニュー

当院では、患者様のライフスタイルやご希望の白さの目標、ご予算に応じて3つのホワイトニング方法をご用意しています。
また、当院のオフィスホワイトニングでは、特許取得のホワイトニング薬剤×高性能照射器を使うことで象牙質の黄ばみそのものを分解していきます。

1. オフィスホワイトニング

オフィスホワイトニング|南栗原歯科

短期間で効果を実感したい方へ

オフィスホワイトニングとは、歯科医院(オフィス)にご来院いただき専門のスタッフが施術を行う方法です。
比較的高濃度の薬剤を使用し、専用のLEDライトを照射することで薬剤の効果を高め、1回の施術でも白さの変化を実感しやすいのが特徴です。

メリット
  • 施術だけで白くなる
  • 当日に効果が期待できる
  • 専門家の施術で安心
  • 手間が少ない
デメリット
  • 色戻りしやすい
  • 奥歯は白くできない

こんな方におすすめです

  • 結婚式や成人式、面接など大切な予定を控えている方
  • ご自身で管理するのが面倒な方
  • 早く結果を出したい方

オフィスホワイトニングの費用

19,900〜118,800円(税込)

オフィスホワイトニングの施術の流れ

オフィスホワイトニングの施術の流れ|南栗橋歯科
STEP 1|問診・カウンセリング

専門のカウンセラーが、歯の色に関するお悩みやどの程度の白さを目指したいかなどご希望を丁寧にお伺いします。
ホワイトニングの仕組みや注意事項についても分かりやすくご説明いたします。

STEP 2|歯の色の測定・口腔内写真撮影

シェードガイドを使用し、現在の歯の色を客観的に測定・記録します。また、お口の中の写真を撮影し健康状態(虫歯や歯周病の有無)を確認します。

STEP 3|歯の表面ケア

ホワイトニング効果を最大限に高めるため、歯の表面の着色や汚れを清掃します。

STEP 4|唇・歯茎の保護

ホワイトニング剤が歯茎や唇に付着しないよう、保護剤でガードします。

STEP 5|ホワイトニング剤の塗布・LED照射

歯の内部の黄ばみを分解する専用のホワイトニング剤を歯の表面に塗布し、薬剤効果を高める専用のLEDライトを照射します。

STEP 6|色の確認・写真撮影

保護剤を除去し、お口をゆすいでいただいた後、再度シェードガイドで歯の色を測定します。
施術前後の写真と共に白さの変化をご確認いただきます。

STEP 7|注意事項の説明

ホワイトニング後の注意事項や白さを長持ちさせるためのメインテナンスについてご説明します。


2. ホームホワイトニング

ホームホワイトニング|南栗橋歯科

ご自身のペースでじっくりと白さを追求したい方へ

ホームホワイトニングとは、患者様ご自身がご自宅(ホーム)で行うホワイトニングです。
歯科医院でご自身の歯ぐきの形に合った精密なマウスピース(カスタムトレイ)を作製し、ご自宅でそのトレイに低濃度のホワイトニングジェルを入れ、毎日一定時間(1日1回、30分~2時間程度)歯に装着していただきます。
時間をかけて薬剤を浸透させ、歯の内部にある象牙質の黄ばみまでアプローチできるので毎日継続すれば現在の歯より白くすることが目指せます。忙しくて医院に通えない人にもおすすめです。

メリット
  • 自分の好きな時間にできる
  • コストを抑えられる
  • 白さが長持ちする
  • 奥歯まで白くできる
デメリット
  • 効果の実感に継続が必要
  • 一定の装着時間が必要

こんな方におすすめです

  • 普段お忙しく、なかなか通院する時間がない方
  • ご自身のペースで目標の白さまでじっくり取り組みたい方
  • オフィスホワイトニング後の白さの維持(メインテナンス)をしたい方

ホームホワイトニングの流れ

当院で行うこと
  1. お口の中全体のチェック
    ホワイトニングが可能か、虫歯や歯周病がないかを歯科医師が診察します。
  2. クリーニング
    歯の表面の着色や歯石を除去します。
  3. お口の中の写真撮影・色測定
    現在の歯の色を記録します。
  4. 口腔内スキャナーによる型取り
    口腔内スキャナー(WEスキャン)で精密な3Dデータを取得します。このデータから患者様専用のカスタムトレイを作製します。(通常1週間程度で完成します)
  5. お渡しとご説明
    完成したマウスピースをお口の中で合わせ、痛みや違和感がないかを確認します。ホワイトニングジェルと共にお渡しし、使用方法、注意点などを詳しくご説明します。
ご自宅で行っていただくこと
  1. きれいに歯磨きをします。
  2. マウストレーにホワイトニング剤を適量(米粒大)流し込みます。(薬剤を入れすぎると、溢れて歯茎の痛みの原因になります)
  3. マウストレーを歯に装着します。
    もし薬剤があふれたら、ティッシュなどで拭き取ってください。
  4. 1日1回、指定された時間(30分~)装着します。装着中の飲食、喫煙はお控えください。
  5. 装着時間が終了したら、トレーを外します。
    お口を良くすすぎ、歯を軽く磨いてください。
  6. マウストレーを洗浄します。
    流水で薬剤を良く洗い流し、水分を切って清潔なケースに保管してください。

3. デュアルホワイトニング

最短で最高の白さを目指し、長持ちさせたい方へ

デュアルホワイトニングとは、歯科医院で行う「オフィスホワイトニング」とご自宅で行う「ホームホワイトニング」を両方とも併用して行う方法です。

オフィスホワイトニングの「即効性・高い漂白効果」とホームホワイトニングの「持続性・透明感」という、双方の良い点を組み合わせた方法で単体で行うよりも短期間での白さアップが期待でき、効果も長持ちしやすいのが特徴です。

こんな方におすすめです

  • 短期間でより高いレベルの白さを目指したい方
  • 黄ばみが強い、または白くなりにくい歯質の方
  • 得られた白さを可能な限り長期間維持したい方

ホワイトニングの前に知っておいていただきたいこと

Q. ホワイトニングは誰でも受けられますか?

A. 以下の方は、ホワイトニングを受けられない場合があります。

  • 妊娠中、授乳中の方(安全性が確立されていないため)
  • 重度の虫歯や歯周病がある方(先に治療が必要です)
  • 無カタラーゼ症の方(薬剤を分解できません)
  • 光線過敏症の方(オフィスホワイトニングの光照射ができません)
  • ホワイトニングは15歳以上の方(14歳以下の方は、歯の成長が十分でないため)

Q. 痛みや「しみる」感じはありますか?

A. 歯の質や状態によっては一時的に知覚過敏(しみる痛み)が出ることがあります。
当院が主に使用するホワイトニング薬剤は、従来の方法に比べて痛みが出にくいよう配慮されていますが、万が一痛みが続く場合は、ご自宅での薬剤の使用を一時中断したり、知覚過敏抑制剤(シミ止め)を使用したりすることで対応します。

Q. 詰め物(レジン)や被せ物(銀歯、セラミック)も白くなりますか?

A. ホワイトニングは、ご自身の「天然の歯」にのみ作用します。
そのため、プラスチック(レジン)の詰め物、銀歯、セラミック(ジルコニア)の被せ物などの「人工物」は白くすることはできません。
ホワイトニング後に、ご自身の歯と人工物の色の差が目立ってしまった場合は、白くなった歯の色に合わせて詰め物・被せ物をやり直す治療(審美治療)が必要になることがあります。

Q. 白さはどれくらい持続しますか?

A. ホワイトニングの効果は永久ではありません。
食生活(コーヒーや紅茶をよく飲むなど)やメインテナンスの状況によって個人差がありますが、通常、数ヶ月から数年かけて少しずつ「色戻り」が起こります。
白さを維持するためには、定期的なクリーニングや数ヶ月〜1年に一度の「タッチアップ」(追加のホワイトニング)を行うことが推奨されます。


白い歯は健康意識を高める第一歩です

白い歯は健康意識を高める第一歩です|南栗橋歯科

ホワイトニングで歯が白くなると、多くの方が「この白さを維持したい」と、以前よりも丁寧に歯磨きをするようになったり定期的なクリーニングに関心を持ったりします。
私たちは、ホワイトニングを「入口」として患者様がご自身の歯に愛着を持ち、お口全体の健康を守るための「予防歯科」へとスムーズにつなげていくことこそ私たちの重要な役割だと考えています。

「自分の歯は、どれくらい白くなるんだろう?」「まずは話だけ聞いてみたい」

どうぞ、お気軽に南栗橋歯科クリニックにご相談ください。専門のカウンセラーが、皆様の「なりたい笑顔」の実現を親身になってお手伝いいたします。

診療時間

診療時間
9:30〜13:30
14:30〜18:30
▲:14:30~17:00
休診日:日・祝

南栗橋歯科クリニック

〒349-1117 
埼玉県久喜市南栗橋10-12-60

0480-31-9955

アクセス

南栗橋駅

徒歩12分

駐車場

医院前:3台
第2駐車場:6台